روند ارسال سفارش ها به شکل عادی انجام میشود. پرسش یا درخواستی دارید از طریق پشتیبانی آنلاین پیام ارسال کنید.تماس اضطراری:09902375954

تصویربرداری پیشرفته تشدید مغناطیسی سیستم عصبی از مبانی نظری تا کاربردهای بالینی

نویسنده:
سال و نوبت چاپ:
اول/1402

بررسی کوتاه:

  • 1 به عنوان یک مرجع برای دانشجویان تصویربرداری پزشکی
  • 2 راهنمای آموزشی برای محققین در زمینه تصویربرداری اعصاب و علوم اعصاب پایه
  • 3 هدف پر کردن جای خالی دانش تئوری در زمینه فیزیک روش‌ها و بهینه‌سازی کاربرد عملی
  • %6
    895,000
    850,000 تومان برای شما
    سود شما از این خرید: 45,000 تومان
    موجود است
    ارسال به سراسر ایران
    گارانتی تعویض کالای معیوب
    مرور کتاب

    مروری در مورد این کتاب

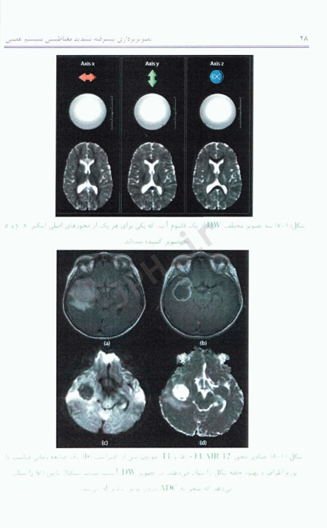
    کتاب تصویربرداری پیشرفته تشدید مغناطیسی سیستم عصبی از مبانی نظری تا کاربردهای بالینی تالیف یوآنیس تسوگوس ترجمه دکتر مسعود جباری توسط انتشارات آناطب به چاپ رسیده بر اصول اولیه و تئوری فیزیکی تکنیک‌های پیشرفته تصویربرداری سیستم عصبی با روش تشدید مغناطیسی تمرکز دارد و کاربردهای بالینی این روش‌ها را بیان می‌کند. همچنین مشکلات و آرتیفکت‌هایی که در استفاده از این روش‌ها وجود دارد تاکید می‌کند.

    این کتاب در نه فصل تنظیم شده است چهار فصل اول کتاب اصول اولیه تکنیک‌های مورد بحث را توصیف می‌کند و یک دید کلی از هر کدام از این روش‌ها به صورت گام به گام بیان می‌نماید در انتهای هر فصل، مختصری از کاربردهای بالینی هر روش بیان شده است. در ادامه هر کدام از این تیفکت‌های آن روش و استراتژدی‌های کاهش آن بیان شده است. در فصل آخر نیز روش‌های چند پارامتری که از ترکیب این تکنیک‌های پیشرفته حاصل می‌شود توضیح داده شده است.


    • ناشر آنا طب
    • شابک 9786227877762
    • سال و نوبت چاپ اول/1402
    • قطع وزیری
    • نوع جلد شومیز (جلد نرم)
    • تعداد صفحات 266
    • وزن 450 گرم
    • مشخصات نویسنده/مترجم
      یوآنیس تسوگوس نویسنده مشاهده بیشتر
      دکتر مسعود جباری مترجم مشاهده بیشتر
    • کیفیت چاپ تمام رنگی
    فهرستی وارد نشده است میتوانید از مشاهده داخل کتاب استفاده کنید
    اولین نفری باشید که درباره ی این محصول نظر میدهید. ثبت نظر
    در حال بارگزاری...
    پرسش و پاسخ درباره این محصول شما میتوانید سوالات خودتان را درباره این محصول اینجا مطرح کنید. ثبت پرسش
    در حال بارگزاری...
    در حال بارگزاری